Back Muscles Anatomy Ct / Ct Of The Chest Soft Tissue Windows Axial Anatomy Radiologypics Com : Front view of muscles, skeleton, organs, nervous system.

Back Muscles Anatomy Ct / Ct Of The Chest Soft Tissue Windows Axial Anatomy Radiologypics Com : Front view of muscles, skeleton, organs, nervous system.. By the middle line of the back is a longitudinal groove back (sulcus dorsi). Back muscles rear view & #8211; 10 rectus abdominus muscle this muscle is consider. They provide movements of the spine functional anatomy: The back anatomy includes the latissimus dorsi, trapezius, erector spinae, rhomboid, & teres major.

Back muscles rear view & #8211; This is a table of skeletal muscles of the human anatomy. These muscles are able to move the upper limb as they originate at the vertebral column and insert onto. This is my video about the muscles of the back. Memorize all the muscle facts with the help of muscle cheat sheets.

Computed Tomography Ct Or Cat Scan Of The Kidney Johns Hopkins Medicine
Computed Tomography Ct Or Cat Scan Of The Kidney Johns Hopkins Medicine from www.hopkinsmedicine.org
The back anatomy includes the latissimus dorsi, trapezius, erector spinae, rhomboid, & teres major. Learn about anatomy back muscles with free interactive flashcards. Back muscles rear view & #8211; The back is subdivided into the upper, middle, and lower back. Anatomical diagram showing a back view of muscles in the human body. This is my video about the muscles of the back. Back muscles are divided into two parts: Back muscles are divided into two specific groups:

Scientific studies using sophisticated tools such as electromyography (emg) and.

Scientific studies using sophisticated tools such as electromyography (emg) and. Back muscles are divided into two parts: The spinalis muscle attaches to the spinous processes of the superior thoracic vertebra. Since learning anatomy is not your primary objective, this is a conceptual view of the the muscles in your upper back are called the trapezius and rhomboids rest underneath your traps. Any exercise you do specifically for shaping your back is definitely very visible and noticeable, and one of the most important things to making your whole body look more muscular. This is a table of skeletal muscles of the human anatomy. Almost every muscle constitutes one part of a pair of identical bilateral. Front view of muscles, skeleton, organs, nervous system. Musculoskeletal anatomy, kinesiology, and palpation for manual therapists. The muscles of the back are a group of strong, paired muscles that lie on the posterior aspect of the trunk. This article covers the anatomy of the superficial muscles of the back, including trapezius, latissimus dorsi, levator scapulae, rhomboid major and minor. Learn all about the muscles of the back in this 3d video anatomy tutorial. Muscle movements, types, and names.

Intermediate back muscles and c. Back muscles rear view & #8211; Fortunately, you don't have to guess. The muscles of the back that work together to support the spine, help keep the body upright and allow twist and bend in many directions. Back muscles are divided into two specific groups:

Computed Tomography Of The Chest I Basic Principles Bja Education
Computed Tomography Of The Chest I Basic Principles Bja Education from els-jbs-prod-cdn.jbs.elsevierhealth.com
The superficial back muscles are covered by skin, subcutaneous connective tissue and a layer of fat. The extrinsic muscles include the trapezius, latissimus dorsi, rhomboid major and minor, levator scapulae and the serratus posterior superior and. Muscles of the back can be divided into superficial, intermediate, and deep group.since the all the back muscles originate in embryo (fetus) form by locations other than the back, muscles in the. The spinalis muscle attaches to the spinous processes of the superior thoracic vertebra. Any exercise you do specifically for shaping your back is definitely very visible and noticeable, and one of the most important things to making your whole body look more muscular. By the middle line of the back is a longitudinal groove back (sulcus dorsi). The muscles of the back that work together to support the spine, help keep the body upright and allow twist and bend in many directions. Muscle movements, types, and names.

3.lower back muscles the lower back muscles support upper body weight, protect body tissues and stabilize the spine.

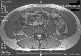
This image is titled back muscles ct anatomy and is attached to our article about best back muscles training exercises. Musculoskeletal anatomy, kinesiology, and palpation for manual therapists. Back muscles are divided into two specific groups: Since learning anatomy is not your primary objective, this is a conceptual view of the the muscles in your upper back are called the trapezius and rhomboids rest underneath your traps. On this page, youll learn about each of these muscles, their locations, and functional anatomy. The spinalis muscle attaches to the spinous processes of the superior thoracic vertebra. Let's remember the back muscles. Fortunately, you don't have to guess. Back muscles rear view & #8211; Tutorials on the anatomy and actions of the back muscles, using interactive animations, diagrams, and illustrations. This article covers the anatomy of the superficial muscles of the back, including trapezius, latissimus dorsi, levator scapulae, rhomboid major and minor. They provide movements of the spine functional anatomy: There are around 650 skeletal muscles within the typical human body.

Anatomy of the muscular system. The extrinsic muscles that are associated with upper extremity and thick splenius muscles form the superficial layer of muscles and are located on the lateral and posterior portions of the neck. Axioappendicular muscles, back muscle basics, back muscles, erector spinae, extrinsic muscles, iliocostalis, intrinsic muscles. The muscles of your back are complex and work together to provide support, movement, and stability. These muscles are able to move the upper limb as they originate at the vertebral column and insert onto.

Anatomy Lab Photographs Chest Muscles
Anatomy Lab Photographs Chest Muscles from faculty.sdmiramar.edu
The muscles of your back are complex and work together to provide support, movement, and stability. The spinalis muscle attaches to the spinous processes of the superior thoracic vertebra. Front view of muscles, skeleton, organs, nervous system. Since learning anatomy is not your primary objective, this is a conceptual view of the the muscles in your upper back are called the trapezius and rhomboids rest underneath your traps. Learn about these muscles, their locations there are several individual muscles within the back anatomy, and it's important to take a quick look at all of them to see how you can target them. Then you have the latissimus dorsi which is the. The back anatomy includes the latissimus dorsi, trapezius, erector spinae, rhomboid, and the teres significant. Scientific studies using sophisticated tools such as electromyography (emg) and.

Microscopic anatomy of skeletal muscle.

Axioappendicular muscles, back muscle basics, back muscles, erector spinae, extrinsic muscles, iliocostalis, intrinsic muscles. This is my video about the muscles of the back. Back muscles are arranged in several layers, so they are divided into deep and superficial, which, in turn, are arranged in two layers. Fortunately, you don't have to guess. Back muscles are divided into two parts: The extrinsic muscles that are associated with upper extremity and thick splenius muscles form the superficial layer of muscles and are located on the lateral and posterior portions of the neck. Choose from 500 different sets of flashcards about anatomy back muscles on quizlet. The back anatomy includes the latissimus dorsi, trapezius, erector spinae, rhomboid, and the teres significant. 10 rectus abdominus muscle this muscle is consider. Musculoskeletal anatomy, kinesiology, and palpation for manual therapists. Scientific studies using sophisticated tools such as electromyography (emg) and. They provide movements of the spine functional anatomy: Then you have the latissimus dorsi which is the.

Intermediate back muscles and c back muscles anatomy. The extrinsic muscles that are associated with upper extremity and thick splenius muscles form the superficial layer of muscles and are located on the lateral and posterior portions of the neck.

Posting Komentar

0 Komentar

Ad Code